
【この記事のまとめ】
50代以降になり歯を失った場合、治療法(入れ歯・ブリッジ・インプラント)選びは慎重に行う必要があります。
✅入れ歯:噛む力が天然歯の2割以下に激減し、顎の骨が年間約0.5mmずつ溶けてやせ細ります。
✅ブリッジ:健康な隣の歯を大きく削るため寿命が短く(平均約7年半)、土台の歯が割れる「連鎖崩壊」のリスクが高い治療です。
✅インプラント:周囲の歯を削らずしっかり噛めますが、「咬み合わせ」が悪いと過剰な力が集中し、数年で崩壊する危険があります。
治療を長持ちさせる根本的な解決策は、どの治療法を選ぶか以上に「咬み合わせ(お口の設計図)」のバランスを整えることです。香川県高松市の「吉本歯科医院」では、四国の開業医では唯一の補綴(ほてつ)歯科専門医による精密診断を行い、骨が少ない方のインプラントや、削る量を極限まで減らした接着ブリッジなど、10年後・20年後を見据えた専門的な治療を提供しています。
- 1. 【この記事のまとめ】
- 2. 歯を抜いた後、どの治療が自分には合う?
- 3. 徹底比較!入れ歯・ブリッジ・インプラントの「本当の違い」
- 3.1. ① 入れ歯:健康な歯をドミノ倒しで失うリスク
- 3.2. ② ブリッジ:両隣の健康な歯を大きく削り、寿命を縮める
- 3.3. ③ インプラント:天然歯に近いが「設計」を誤ると崩壊する
- 4. 治療法選びよりも重要な「咬み合わせ」という設計図
- 5. 香川県高松市「吉本歯科医院」の専門治療
- 5.1. 【歯を大きく削りたくない方へ】接着ブリッジ
- 5.2. 【骨が少ないと言われた方へ】CT・3D立体構築画像診断
- 5.3. 【総入れ歯でお悩みの方へ】オールオン4®(All-on-4)
- 6. よくある質問
- 6.1. Q1. インプラントはどのくらいもちますか?
- 6.2. Q2. 他院で「骨が少ないからインプラントは無理」と言われました。本当に無理でしょうか?
- 6.3. Q3. 「インプラント初診パック」ではどんなことをするのですか?
- 7. まとめ:治療の成功は「正しい診断と設計図」から
歯を抜いた後、どの治療が自分には合う?

「50代になり、とうとう歯を抜くことになってしまった…」 「入れ歯、ブリッジ、インプラント、どれを選ぶのが正解なの?」このようなお悩みを抱えている50代以降の方は非常に多くいらっしゃいます。
歯を失った際の治療選びは、その後の人生の「食事の楽しさ」や「健康寿命」を左右する大きな決断です。
しかし、費用や見た目だけで治療法を選んでしまい、数年後に「せっかく治療したのに、またダメになった…」と後悔する方が後を絶ちません。
実は、入れ歯・ブリッジ・インプラントのそれぞれの特徴を知ること以上に、「咬み合わせ(力)」を考慮した治療設計ができる歯科医院を選ぶことが何よりも重要です。今回は、四国・香川県高松市の「咬み合わせ専門」である吉本歯科医院の視点から、3つの治療法の本当の違いと、後悔しないための歯科医院選びのポイントを解説します。
徹底比較!入れ歯・ブリッジ・インプラントの「本当の違い」

歯を失った際、一般的な歯科医院で提示される選択肢は以下の3つです。それぞれのメリットだけでなく、見落としがちな「リスク」を知っておきましょう。
① 入れ歯:健康な歯をドミノ倒しで失うリスク

✅特徴:保険適用で作れるため安価で手軽。外科手術が不要です。
🌟本当のリスク:入れ歯の噛む力は天然歯のわずか2割以下(5分の1〜6分の1程度)まで激減します。
さらに、部分入れ歯の「金属のバネ」を引っかけられた健康な歯は、釘抜きのように揺さぶられ、数年でグラグラになり抜けてしまいます。また、入れ歯が歯ぐきを圧迫し続けることで、顎の骨は年間約0.5ミリずつ溶けて(吸収して)やせ細り、どんどん入れ歯が合わなくなっていきます。
② ブリッジ:両隣の健康な歯を大きく削り、寿命を縮める

✅特徴:固定式なので違和感が少なく、保険診療から自由診療まで選べます。
🌟本当のリスク:失った歯のダミーを支えるため、両隣の健康な歯をエナメル質を含めて大きく(全体の約3分の1)削る必要があります。本来3本で支える力を2本で支えるため、土台の歯には1.5倍の過剰な負荷がかかり、ある日突然、歯の根が割れる「歯根破折」を起こしやすくなります。保険のブリッジの寿命は約7年半と言われており、ダメになる時は土台にした健康な歯も一度に2本以上失う「連鎖崩壊」の入り口になりやすいのが現実です。
③ インプラント:天然歯に近いが「設計」を誤ると崩壊する

✅特徴:顎の骨に直接人工歯根を埋め込むため、両隣の歯を一切削らず、天然歯に近い力でしっかり噛めます。骨に刺激が伝わるため、骨がやせるのも防ぎます。
🌟本当のリスク:自由診療のため費用が高額で、外科手術が必要です。最も注意すべきは、インプラントには天然歯のような「クッション(歯根膜)」がないため、「咬み合わせ」が悪いと過剰な力がダイレクトに伝わり、インプラント本体が折れたり、周囲の骨が溶けたりして数年でダメになってしまうことです。
治療法選びよりも重要な「咬み合わせ」という設計図
現在の日本の歯科治療の約7割は、過去に受けた治療の「やり直し」だと言われています。 なぜ、せっかく入れたブリッジやインプラントが壊れてしまうのでしょうか?それは、多くの歯科治療が「歯を失った原因」を追究せず、ただ穴を埋めるだけの「部分修理」で終わっているからです。 吉本歯科医院では、歯科治療を「家づくり」に例えています。

咬み合わせ = 設計図
顎の骨 = 基礎(土地)
インプラントや被せ物 = 建物
どんなに高級なインプラントやブリッジ(建物)を入れても、「設計図(咬み合わせ)」が狂っており、特定の歯に破壊的な力が集中していれば、日常の噛む力(女性で100kg、男性で200kg)に耐えられず、すぐに基礎(骨)ごと崩壊してしまいます。 つまり、50代から一生涯ご自身の歯(またはインプラント)で美味しく食事を楽しむためには、「どの治療法を選ぶか」の前に、「お口全体の咬み合わせのバランスを整えること」が絶対条件なのです。
香川県高松市「吉本歯科医院」の専門治療

香川県高松市にある吉本歯科医院は、四国でも数少ない「噛み合わせ(咬合)」を専門とする歯科医院です。院長の吉本彰夫は、日本歯科専門医機構認定の「補綴(ほてつ)歯科専門医」および「補綴歯科指導医」であり、歯を補い、噛み合わせのバランスを整えるプロフェッショナルです。
一般的な歯科医院では対応が難しいケースでも、吉本歯科医院なら以下のような専門的な選択肢をご提案できます。
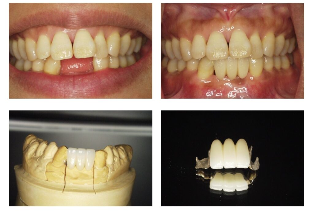
【歯を大きく削りたくない方へ】接着ブリッジ

従来のブリッジのように歯を大きく削らず、削る量を髪の毛1本分(約0.7mm)程度、通法の1/10に抑える特殊な技術です。健康な歯のエナメル質を残すことで、歯の寿命を大幅に延ばします。歯を少ししか削らないジルコニア接着ブリッジ | 本当に歯でお困りの方は香川県 高松市の咬み合わせ専門 吉本歯科医院
【骨が少ないと言われた方へ】CT・3D立体構築画像診断

他院で「骨がないからインプラントは無理」と断られた方でも、0.5mm単位で撮影できる医科用CTと3Dシミュレーションを駆使し、GBR(骨再生療法)やソケットリフトなどを用いて安全にインプラント治療を可能にします。
【総入れ歯でお悩みの方へ】オールオン4®(All-on-4)

最小4本のインプラントで全ての人工歯を支え、手術したその日のうちに固定式の仮歯が入り、噛む喜びを取り戻せる画期的な治療法です。吉本歯科医院の院長吉本彰夫は、オールオン4®の発案者であるポルトガルの歯科医師Dr.パウロ・マロよりポルトガルのリスボンで直接指導を受けた日本人歯科医師の一人です。歯が1本もなくなってしまった方、総入れ歯しか選択肢がないと診断を受けた方のためにオールオン4Rはお選びいただいています。歯が1本もなくなった方や総入れ歯をお使いの方におすすめしているインプラント治療がオールオン4Rです。オールオン4Rとは、4本のインプラントで片顎の全ての歯を支える治療法です。
少ない本数で支えるため咬み合わせをきちんとするということが成功のための必須条件です。
よくある質問
Q1. インプラントはどのくらいもちますか?
A. ブローネマルク教授が初めてインプラント手術をされた患者さんは、40年以上何の支障もなく使用していました。インプラントの10年後の残存率は95%以上と非常に高く、定期的なメインテナンスをしっかり継続すれば、何十年も使い続けることが可能だと考えられています。当院では、10年後・20年後のトラブルにも対処できるよう、世界最高峰基準のインプラントメーカーのみを採用しています。
Q2. 他院で「骨が少ないからインプラントは無理」と言われました。本当に無理でしょうか?
A. 諦める必要はありません。当院では、0.5ミリ間隔で撮影できるCTスキャナーと3D立体構築画像検査を用いて、骨の状態をミリ単位で正確に把握します。その結果をもとに、GBR(骨再生療法)やソケットリフト、サイナスリフトといった骨造成の技術を用いることで、他院で断られた方でも安全にインプラント治療が可能になるケースが多くあります。
Q3. 「インプラント初診パック」ではどんなことをするのですか?
A. 通常のレントゲン撮影に加え、CTスキャン撮影や口腔内写真撮影を行い、お口の中を立体的に検査して骨や咬み合わせの状態を精密に診断します。その後、補綴歯科専門医である院長が直接、あなたに最適な治療計画をご提案いたします。また、専任のカウンセラーが同席し、費用や治療期間、痛みへの不安などどのようなご質問にもお答えします。初診パックを受けたからといって無理に治療を勧めることはありませんので、まずはご自身のお口の現状を正しく知るためにご活用ください。吉本歯科医院のインプラント初診パック
まとめ:治療の成功は「正しい診断と設計図」から
歯を失った時、「とりあえず保険の入れ歯で…」「削るけどブリッジで…」と安易に決めてしまうと、後から「連鎖崩壊」という重い代償を払うことになりかねません。「自分にはインプラントが合うのか?」「接着ブリッジは可能なのか?」 その答えは、あなたのお口の「骨(基礎)」と「咬み合わせ(設計図)」を精密に診断しなければ分かりません。
もし香川県で歯の治療にお悩みなら、手遅れになって周囲の歯まで失ってしまう前に、高松市の吉本歯科医院にご相談ください。 当院では、あなたの10年後、20年後を見据えた「インプラント初診パック(通常40,000円の精密診断メニューを5,500円(税込))」をご用意し、あなたにとって本当に必要な治療をご提案いたします。



