
香川県高松市の噛み合わせ専門歯科医院 吉本歯科医院の吉本彰夫です。
ご自分の歯の神経が生きているか?
それとも死んでしまっているのか?
それとも死にかかっているのか?
その判断を歯のレントゲン写真をを見て判断できますか?
教えて欲しい
というお問い合わせをよくいただきます。
歯の神経が生きているかどうかを
どうやって判断するのか
お話させて頂きますね。
歯の神経を治療しているかどうか、ですが
まず歯のレントゲンの見方というのは、
実は硬いものが白く写るということを
知っていただいたらわかりやすいかもしれません。

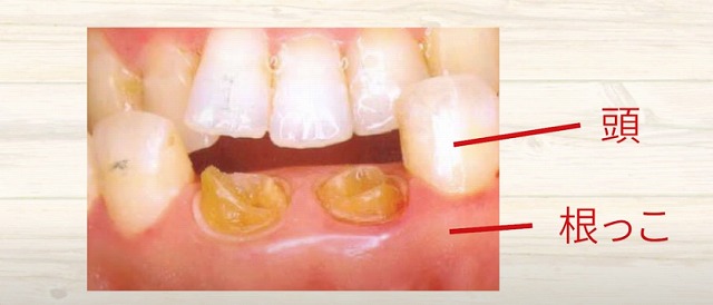
歯はこのように
手鏡等で見ると見えますが、

見えているのは実は
歯の頭だけが見えています。

そして
その下には長い歯の根っこがあって
硬い骨で覆われています。

さらに
薄い歯茎が骨の上に乗っているんですね。
イメージ的には、
畑に大根が植わっているような感じです。

レントゲンの見方
真ん中からだいたい対称的で左右が
Rが右です左がLです。

そしてレントゲンの見方で知っておいてほしいことは、
硬いものが白く写るということです。

お口の中で
硬いものとは何か?
歯の頭
歯の根っこ
そして
歯の根っこを支えている骨
が硬いです。
歯茎や神経や血管は硬くありません。
ですので、
レントゲン写真には写ってこないですね

ですから、
硬い歯の頭があって

歯の根っこがあって、

ここの歯だと黒く写ってますね

そこは柔らかい
だから、歯の神経が生きているのではないかと考えます。

次に神経の治療ですけれども
どのようにしているか?
このように
歯の頭があって歯の根っこがあります。

中に
神経や血管があるわけです。
歯の神経の治療をするにあたって、
この歯の頭が邪魔になります。

ですので、
頭をスパーンて
削って落としたりするんですね。

そうすると
歯の神経の入り口つまりトンネルのような状態の筒の入り口が見えてきます。
そこから針みたいなもので、
この穴から入れて中を
ゴソゴソと掃除されたことがあるかもしれません。
断面で見ていきますと、

骨の中に根っこが植わっており中が空洞になります。

空洞になっていますといろいろなものが
入ってきたりしますので、
入ってこないように根っこの中にお薬を入れます

そして被せをしようとしますが安定しません。
ですのでこのようなこのような杭みたいなものをつくり
この杭を穴の中に差し込みます
そうすると、この頭部分が出てきますから

これを土台にして帽子を被せる
というような治療を受けられています。

歯の根っこがあって、
その神経血管が元々あったところに
人工のお薬、そして芯棒、そして被せ
このように一直線上に入るわけです。

そして
根っこと
被せモノが
段差なく移行的に入るように被せ物をされます。

これをレントゲンで撮影すると、ある患者さんの写真ですが、

歯の根っこ

薬を詰めている部分

芯棒

被せモノ
歯の根っこの周囲は
白い骨で覆われている

という風にイメージしていただくと
わかりやすいかもしれません
歯によって根っこの本数は違いますので
一本写る方もいらっしゃれば
このように何本も写ることがあります。

本来の歯は
神経・血管はやわらかいので黒い線として写ります。
白い線が入っているということは
過去に歯の神経の治療をしたということです。
つまり歯の神経部分はもう無くなっている

ということが推定できます。
一昔前はこの神経の治療をした後に入れてお薬は
レントゲンに写るものではなかったんです。
ですから、何十年も前に、もし治療されたという場合には
その時の先生が使われていたお薬によっては
神経の治療をしているけれども
レントゲンでは写ってこないということはあり得ます。
この10年20年ぐらいはレントゲンに写る治療薬を使われている先生が
多いかと思います。
そして
ばい菌が侵入したり
歯を支えている骨が溶けたりすると
歯の根っこの周囲が黒く溶けてきたりして
レントゲンでは黒く写ってきます。
ですから
その歯の周囲には硬い骨がない
つまり骨がない
歯の根っこが割れているのでばい菌が入って
骨が溶けたのではないかと
推測することができるということになります。
歯の神経が生きているのか?死んでいるのか?と推測し判断するのは
こうやってやっています。
どうぞご参考になさってください。




