
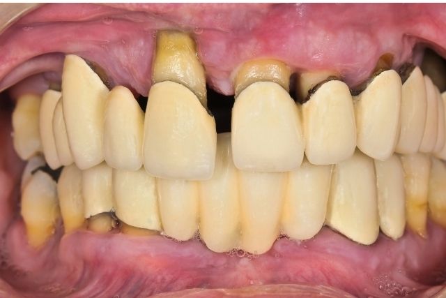
歯を失った場合、有効な治療法の一つがインプラント治療です。しかし、インプラント治療を希望される方でも、歯周病が進行していると診断されているために、骨が溶けておりインプラント治療ができないのではないかとご相談にお越しになる方は少なくありません。歯周病は、歯ぐきや周囲の組織に影響を与える炎症性疾患です。インプラント治療を受ける際には、十分な骨量や健康な歯ぐきが必要です。歯周病を放置しておくとインプラント治療に良くない影響があります。歯周病を治療せずにインプラント治療を行うと、その後インプラント周囲炎を引き起こし、インプラントの寿命を縮めてしまうこともあります。歯周病の状態でもインプラント治療を受けられるかどうか、そして歯周病の状態でもインプラント治療を受ける方法について紹介していきます。当院では、徹底した歯周病治療を行い、お口の中の土台を健康な状態に維持することが重要です。それが、インプラントのトラブルを防ぎ、インプラントを長期間快適に使用するための絶対条件だと考えています。歯周病によって骨が減少している場合や、歯ぐきの状態が不良な場合、インプラント治療を行う前にそれらの問題を解決するための処置(骨を造る治療)が必要になることがあります。歯周病の治療や管理が不十分なままインプラント治療を行うと、インプラント周囲炎や骨の吸収などの合併症が起こる可能性があります。
吉本歯科医院の院長が考える歯周病の診断
①歯周病菌が原因によるもの

20代や30代でも、歯周病が進行し多くの歯を失うことがあります。日本人の5人に1人がかかるとされる歯周病(歯槽膿漏)は、年齢が上がるほど進行しやすくなりますが、若い年齢でも注意が必要です。当院には、30代前半で多くの歯を歯周病の進行によって失い、入れ歯を使用していたが、不便を感じてインプラント治療を受けられた方々もいます。
歯周病は感染症であり、特に20代や30代でも発症する場合、口内に悪影響を及ぼす歯周病菌が存在する可能性があります。口内には数百種類の細菌が存在し、その中には口内の健康を維持するために必要な細菌も含まれています。したがって、無闇に口腔洗浄剤で殺菌することはお勧めできません。長期的には、殺菌剤によって死なない細菌が増殖し、口内のバランスを乱す可能性があります。歯周病の原因として代表的なものは、口内の約400種類の細菌の中で、以下の6つが挙げられます。
歯周病菌の種類
Actinobacillus actinomycetemcomitans(A. a.菌)
小さな球形に近い、非運動性、非芽胞産生性、糖分解性、好二酸化炭素性、通性嫌気性、グラム陰性の両端が丸い桿菌です。
限局型若年性歯周炎の病巣から比較的高率に検出されますが、健康な状態または軽度の症状しかない患者の歯肉縁下プラークからの検出率は低いとされています。
Porphyromonas gingivalis(P. g.菌)
黒色色素産生性バクテロイデス属に属し、偏性嫌気性、グラム陰性、非芽胞産生性、非運動性の桿菌です。血液培地で増殖すると、褐色または黒色に着色したコロニーを形成します。
進行した成人性歯周炎の病巣から分離されることがあり、広汎型若年性歯周炎の病巣からも分離されます。歯肉の炎症度と歯肉縁下プラークにおける本菌の存在比率との間に相関関係が明らかにされています。対照的に、健康な人や歯周炎が軽度である患者の歯肉縁下プラークからはほとんど検出されません。
Prevotella intermedia(P. i.菌)
黒色色素産生性バクテロイデス属に属し、進行した歯周炎患者のポケットから、しばしば多数のP. gingivalisと共に分離されますが、単独で存在することは稀です。
P. intermediaは、歯肉炎患者や歯周組織が健康な人の半数以上に存在します。
Tannerella forsythensis(旧 Bacteroides forsythus、T. f.菌)
グラム陰性で、非運動性の初期には球菌様を示しますが、時間の経過とともに、通常、先端が尖り、中央部が膨らんだ形状を示す嫌気性の桿菌です。
この菌は、歯周炎や健康な部位よりも疾患の進行が著しい部位で高頻度に検出されます。また、表面的または非活性の病巣よりも深部で活動している病巣で顕著に見られます。難治性歯周炎の指標として重要です。
Treponema denticola(T. d.菌)
スピロヘータは、長くて細いグラム陰性の嫌気性菌であり、歯周病の病巣からしばしば分離されます。また、人の腸管や泌尿・生殖器表面からも発見され、いくつかの種は梅毒のような重篤な感染症の原因菌です。
この菌の口腔内での役割はまだ完全には解明されていませんが、最も頻繁に分離されるT. denticolaに関しては、歯周病の活動度や重症度と関連があるとされる報告があります。また、治療された患者でのスピロヘータの割合が高い場合、再発しやすいとの報告もあります。
Fusobacterium nucleatum(F. n.菌)
Fusobacterium nucleatum(F. n.)は、長いグラム陰性の嫌気性菌であり、デンタルプラークなどに広く存在しています。ヒトの口腔内に定着し、紡錘菌とも呼ばれる特徴的な形状を示します。F. n.は歯周病原菌の1つであり、バイオフィルム形成において中心的な役割を果たし、他の細菌と共に凝集します。
P. g.菌、T. f.菌、T. d.菌の3種類の組み合わせは、RED complexとして知られ、歯周病の進行に重要な役割を果たすと考えられています。
30歳以下の若年層で発症する歯周病は、一般的な慢性歯周炎よりも骨吸収速度が非常に速い特徴があります。骨の状態はパノラマレントゲン写真で確認できます。歯周病は感染症であり、家族間での感染が非常に一般的です。歯周病菌は唾液を介して感染します。そのため、一般的な歯科医院での定期的な歯の清掃や毎日の歯磨きなどでは治っていくことはありません。感染症ですので感染に対する歯周病治療が必要です。
②咬み合わせが原因にによるもの

そして歯周病の原因の盲点となっているのが「噛み合わせ」です。重度の歯周病が進行し、歯を抜かなければならなくなる方は非常に多いですが、ほとんどの方が歯周病や歯槽膿漏が口の中の細菌によってのみ引き起こると考えています。もちろん、歯周病は感染症であり、人から人へ歯周病菌が感染することで発症する場合もあります。しかし、もう一つの盲点となっている原因があります。それが「咬み合わせ」です。咬み合わせ異常による歯周病・歯槽膿漏は、上下左右の歯のかみ合わせバランスが悪いことで歯に外傷が起こってしまう状態のことを指します。咬み合わせ異常が原因で歯周病や歯槽膿漏と同様の症状が引き起こされますが、これは歯周病菌による細菌感染とは異なります。咬み合わせが原因による歯周病・歯槽膿漏は、症状がとても似ているために、患者さんは誤って歯周病・歯槽膿漏と思い込むことがあります。一般的な歯科医院では、これを細菌による歯周病・歯槽膿漏と説明することがほとんどですが、噛み合わせによる歯周病・歯槽膿漏の原因も考慮されるべきです。
①歯軋りや食いしばりによるもの

歯軋りや食いしばりは誰もが経験することですが、特に奥歯が異常にすり減り、割れて破壊される方は多くいます。穴が開いたり、グラグラと揺れたりするなどの症状は、歯周病や歯槽膿漏と同じですが、原因は歯軋りや食いしばりにあります。このような場合、歯の掃除をしても症状が改善されることはほとんどありません。奥歯は口の中で最も重要な役割を果たす「大黒柱のような存在の歯」です。その奥歯が破壊されると、他の健康な歯も次々に影響を受けていきます。歯軋りや噛む力によって歯が割れたり折れたりすることがあります。
②噛み合わせの異常
噛み合わせの悪さは歯周病や歯槽膿漏の主な原因の一つです。

前歯が折れたり、虫歯ができやすかったり、歯がグラグラしたり、顎や顔が痛くなったりする症状は、全て「噛み合わせ」のバランスの悪さが原因です。例えば、「虫歯ができやすい」という症状と「噛み合わせの悪さ」の関連性は、歯が正常に並んでいないために、虫歯菌が溜まりやすくなり、いつもバイキンが繁殖しやすい状態になるためです。また、「前歯が折れた」という症状と噛み合わせの関連性は、前歯が本来耐えられるよりも負荷がかかっているために、衝撃や噛む力によって折れやすくなるからです。吉本歯科医院では、噛み合わせのバランスを正常に戻すことが治療の重要な一環であると考えています。
③被せ物や詰め物の噛み合わせの不具合
被せ物や詰め物の噛み合わせが高すぎる場合など、噛み合わせの異常は歯周病や歯槽膿漏の原因となります。しかし、噛み合わせの重要性は理論上理解できていても、実際に患者の噛み合わせを正常に戻すことができる歯科医師や歯科技工士は限られています。

歯周病の予防のために定期的に歯科医院に通っていたのに、結局歯を抜かなければならなくなったという方は少なくありません。歯周病や歯槽膿漏を本当に予防するためには、噛み合わせを正しく診断する視点が必要です。
歯周病だけれどもインプラント治療を受けたい方へ
歯周病と診断されているけれど、インプラントが可能かどうか悩んでいる方は、まずは「歯周病の原因は何か?」を明らかにすることが最も重要です。歯周病の症状は口の中に必ず原因があります。歯周病の原因が①歯周病菌によるものなのか、②咬み合わせ異常による破壊的な力によるものなのか、それとも①②の両方を引き起こしているのか、をまず確認します。歯周病の原因を特定することで、その後の治療法が大きく異なります。歯周病で悩んでいる方は、重度、中度、軽度に関わらず、まずは原因を追及することが先決です。お気軽にご相談ください。吉本歯科医院では、歯周病と診断された場合にその根本原因を探ります。


