
香川県高松市の噛み合わせ専門歯科医院 吉本歯科医院の吉本彰夫です。
歯石取りをしてもらった後、歯茎が下がったように感じる。
歯石取りをしてもらった後、前歯に隙間ができたように感じる。
歯を削られているのでしょうか?
それとも歯周病が悪化しているのでしょうか?
さまざまなご不安をご相談にお越しになられます。
歯科医院で行う歯石除去については多くのご相談を頂きますので、ここでお話させて頂きますね。
そもそもなぜ歯石を取る必要があるの?

歯石が蓄積することで歯周病が悪化するから、です。
歯石は細菌の塊です。
歯石の表面はザラザラしているため、通常の歯の表面よりも、プラークがよりくっつきやすくなります。
細菌のかたまりであるプラークは歯肉炎・歯周病の原因となります。
細菌を放置しておくと歯が溶けたり炎症を起こしたりします。
炎症はドミノ倒しのように連鎖的に起こります。
歯周病が悪化し、歯を支えている骨が溶け始めると最終的には歯が抜けてしまいます。
炎症を起こす細菌のすみかとなる歯石の除去が必要なのです。
歯石って何?

歯石とは歯垢が石のように硬くなったもののことです。
磨き残した歯垢は1週間で歯石へと変わります。
逆に言えば1週間に1回もブラシが当たっていないということです。
歯石になってしまうとご自分で歯みがきするだけでは取れません。
専用の機械でプロによる歯石除去が必要です。
歯石を発生させないためには「いかに歯垢の状態で除去するか」ということが大事になってきます。
よくある質問
①歯石を取った後、歯茎が下がったように感じる

深い場所にある歯石を取ることにより歯茎が引き締まり、歯茎が下がったように見えます。
歯石によって周りの歯が腫れたり、歯の周囲の骨が溶けてしまっていたので、歯石を取ることによって腫れていた歯茎が引き締まり歯茎が下がったように見えてしまいます。
健康な歯茎は骨の上2ミリに落ち着きます。
②歯石を取った後、前歯に隙間ができた気がする

もともとあった歯の隙間に歯石が付き、その歯石が取れたからです。
歯石や歯垢は、慢性的な歯周病を引き起こします。
すると、歯ぐきが下がったり、顎の骨が減り、歯が長く見え、隙間が広がっていきます。
その間に歯石が詰まって隙間が無いように見えていても、歯石を取ると隙間ができてしまうのです。
③歯石を取った後、歯がしみて痛い

歯石除去後に、知覚過敏となることは少なくありません。
ただこの知覚過敏は一時的であることが多いため、あまり心配する必要はありません。
今まで硬くこびりついていた歯石が歯石除去により歯の根の表面が露出すると、外からの刺激が歯の中の神経に伝わりやすくなるので、歯がしみやすくなります。
フッ素塗布などをすると早く痛みが治まるようになることがあり。
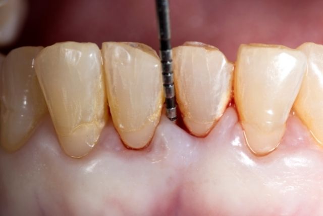
④歯石を取る時、歯も一緒に削られるのではないか?

機械で取る場合、虫歯を削る時に似た「キーン」という音がなりますが、歯石を取る機械の方は歯が削れるドリルではなく超音波スケーラーと呼ばれるもので、歯よりも弱いチップですのでチップがちびることはあっても歯が削れるということは決してありません。
歯石に細かな振動を与えることによって歯石を弾き飛ばしています。
ご安心下さい。
歯周病を予防するために必要な歯石除去

現在では歯周病は、予防でき治療も可能です。大切なのは予防すること定期的なメインテナンスです。ここ数年で歯周病の治療は急速な進歩を遂げています。現在では進行を阻止することが可能となり、健康をとりもどすことができています。歯周病の大きな原因である歯垢と歯石、それをためない、増やさないことはとても大事です。


