出っ歯を治したい審美歯科で改善症例
口が閉じにくい、出っ歯を治したい(30歳女性)-歯科外科治療、審美補綴治療
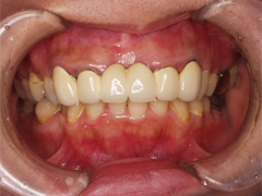
他医院で治療した歯がだんごみたいになっているのが気になり笑えない 患者様の症例
吉本歯科は、口内写真とパノラマレントゲンを撮影し、まずは顎の骨の状態まで詳しく確認しました。
写真(1)口内写真
正確な診断
院長の吉本の診断は以下でした
患者さまのご希望の把握ができていないためにこのような不自然な被せ物で治療をされている
初期治療と継続的な治療について
かぶせもののつけかえ
写真(1)
歯茎との境目に違和感がなく、ご自分のもともとの歯のように見えています。
同じような自由診療を行なっても、完成にはこのような差がでてまいります。
上の前歯の歯が短くて会話していても上前歯が見えない
治療について
- 治療内容/下の前歯をさわらずに上の前歯だけの治療で歯を長く見せる治療の場合は被せる歯の歯頚部(歯茎の際の位置)を歯周外科治療と根の治療、土台(心棒)と被せ物セラミックスクラウン
- 費用/土台(心棒)1本あたり2万円,被せ物1本あたり10万円~20万円,合計80万円(税別)
- リスク・副作用/外科治療によって歯茎を切開、骨削合(骨を削る)をするので処置後1週間くらい腫れる、痛みがでることがあります。(抗菌薬と痛み止めを処方します。)
- 期間/外科処置をしますので傷口の治りかたにもよりますが2~3カ月程度
審美歯科治療(セラミックスと歯周外科を含む)におけるリスクや副作用の詳細説明
歯周外科処置と被せ物にて審美治療
歯の形、色、位置、見え方、笑った時、会話をするときに美しく見える口元を改善する治療方です。歯冠長を延長してセラミックス等の被せ物を入れることで歯の位置や見た目を改善します。
一般的には以下のようなリスクがあります。
その有無や程度は、症状や個人差によって異なります。
歯を削る
今ある歯の位置によっては、歯を大きく削ることになります。天然歯であれば神経を残した状態で被せ物が出来るか、神経を取った状態で被せ物になるかは実際に削ってみないと分りません。神経を残して被せ物となれば、しばらく冷熱痛や神経に触るような痛みを感じることがありますが被せ物が入れば数日で治まることがおおいです。
神経を取る
削る必要量が多くなれば歯に痛みがでますので神経をとることになります。神経を取れば、神経がある歯と比べると歯の強度が10分の1まで落ちます。根は残りますが歯の歯冠部分はなくなりますので人工的な土台(心棒)をいれることになります。
外科治療
見た目がいい形の歯を入れるために歯茎を切除して骨形成を行います。
外科処置となりますので、術後に腫れや痛みあざが生じる可能性があります。
いずれも個人差はありますが1週間から2週間程でおさまります。


























